“Objetivo
A deficiência de vitamina D foi relatada como um fator chave no desenvolvimento de doenças infecciosas, como infecções do trato respiratório e processos inflamatórios, como a síndrome do desconforto respiratório agudo. No entanto, o impacto da vitamina D na gravidade e no resultado da COVID-19 ainda não é totalmente conhecido. Aqui, nosso objetivo foi avaliar o papel prognóstico da concentração sérica de vitamina D sobre a extensão do envolvimento pulmonar e o resultado final em pacientes com COVID-19.”
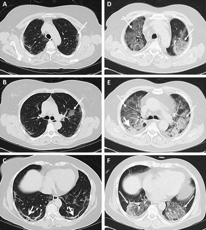
“a – c Um homem de 55 anos apresentou histórico de 5 dias de febre e tosse seca sem qualquer comorbidade [nível de 25(OH)D foi de 40 ng/mL] com pontuação de envolvimento de tomografia computadorizada (TC) pulmonar inicial de oito/24. Na admissão, as imagens de TC mostraram opacidades em vidro fosco (GGO) irregulares sutis (setas longas) predominantemente nas zonas superiores e padrão reticular (setas largas) nas zonas inferiores. O paciente teve alta após 6 dias.
d – f Um homem de 54 anos com histórico de 4 dias de febre, tosse seca e dispneia e nenhuma outra comorbidade [o nível de 25(OH)D era 7 ng/mL]. Escore de envolvimento da TC de pulmão de noventa/24. Na admissão, as imagens de TC mostraram GGO difuso (setas longas) com leve alteração de consolidação (seta na cabeça grossa) na zona média direita. O paciente morreu após 19 dias.”
“a – c Um homem de 55 anos apresentou histórico de 5 dias de febre e tosse seca sem qualquer comorbidade [nível de 25(OH)D foi de 40 ng/mL] com pontuação de envolvimento de tomografia computadorizada (TC) pulmonar inicial de oito/24. Na admissão, as imagens de TC mostraram opacidades em vidro fosco (GGO) irregulares sutis (setas longas) predominantemente nas zonas superiores e padrão reticular (setas largas) nas zonas inferiores. O paciente teve alta após 6 dias.
d – f Um homem de 54 anos com histórico de 4 dias de febre, tosse seca e dispneia e nenhuma outra comorbidade [o nível de 25(OH)D era 7 ng/mL]. Escore de envolvimento da TC de pulmão de noventa/24. Na admissão, as imagens de TC mostraram GGO difuso (setas longas) com leve alteração de consolidação (seta na cabeça grossa) na zona média direita. O paciente morreu após 19 dias.”

